Hsv Esophagitis Pathology / Inflammatory Disorders Of The Esophagus Clinical Gate / Very few cases of a multiple viral infection have been reported.

Hsv Esophagitis Pathology / Inflammatory Disorders Of The Esophagus Clinical Gate / Very few cases of a multiple viral infection have been reported.. Cytomegalovirus esophagitis is a form of esophagitis associated with cytomegalovirus. The esophagus is a tube composed of a mucosal lining, and longitudinal and circular smooth muscle fibers. Healing and relapse of severe peptic esophagitis after treatment with omeprazole. Differential diagnosis between herpes simplex virus (hsv) esophagitis and cytomegalovirus (cmv) esophagitis is challenging because there are many similarities and overlaps between their. Eosinophilic esophagitis attributed to gastroesophageal re.

Peptic strictures cause a gradually progressive dysphagia for solid foods. Occurs with patients who have oral lesions reflux esophagitis 1. Esophagitis may cause odynophagia and even esophageal hemorrhage, which is usually occult but can be massive. Causes of esophagitis include stomach acids backing up into the esophagus, infection, oral medications and allergies. The latter can occur frequently during anesthesia or deep sedation.

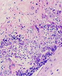
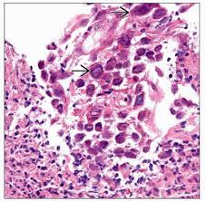
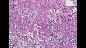
Pathology Outlines Herpes Simplex Esophagitis
Pathology Outlines Herpes Simplex Esophagitis from www.pathologyoutlines.com
It connects the pharynx to the stomach; Healing and relapse of severe peptic esophagitis after treatment with omeprazole. Infective esophagitis is a rare disease, affecting mostly immunocompromised patients. Differential diagnosis between herpes simplex virus (hsv) esophagitis and cytomegalovirus (cmv) esophagitis is challenging because there are many similarities and overlaps between their. Eosinophilic esophagitis attributed to gastroesophageal re. Esophagitis can cause painful, difficult swallowing and chest pain. Very few cases of a multiple viral infection have been reported. Cobblestone esophagitis (эзофагит со слизистой булыжной мостовой).

Peptic strictures cause a gradually progressive dysphagia for solid foods.

Cobblestone esophagitis (эзофагит со слизистой булыжной мостовой). This condition occurs in the setting of patients with a weakened immune system who are susceptible. Infective esophagitis is a rare disease, affecting mostly immunocompromised patients. The latter can occur frequently during anesthesia or deep sedation. Peptic strictures cause a gradually progressive dysphagia for solid foods. We present a case of combined cytomegalovirus. Herpes esophagitis is a viral infection of the esophagus caused by herpes simplex virus (hsv). Eosinophilic esophagitis attributed to gastroesophageal re. Esophagitis can cause painful, difficult swallowing and chest pain. Herpes esophagitis is a viral infection of the esophagus caused by herpes simplex virus (hsv). Healing and relapse of severe peptic esophagitis after treatment with omeprazole. Occurs with patients who have oral lesions reflux esophagitis 1. Causes of esophagitis include stomach acids backing up into the esophagus, infection, oral medications and allergies.

The latter can occur frequently during anesthesia or deep sedation. Herpes esophagitis is a viral infection of the esophagus caused by herpes simplex virus (hsv). Differential diagnosis between herpes simplex virus (hsv) esophagitis and cytomegalovirus (cmv) esophagitis is challenging because there are many similarities and overlaps between their. As the practice shows, hypodiagnostics of eosinophilic esophagitis and other eosinophilic gastrointestinal diseases takes place. Peptic strictures cause a gradually progressive dysphagia for solid foods.

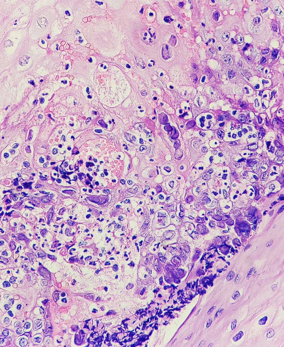
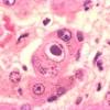
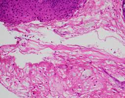
Pathology Of Herpes Simplex Virus Infection Dr Sampurna Roy Md
Pathology Of Herpes Simplex Virus Infection Dr Sampurna Roy Md from www.histopathology-india.net
Healing and relapse of severe peptic esophagitis after treatment with omeprazole. Herpes esophagitis is a viral infection of the esophagus caused by herpes simplex virus (hsv). Swallowed food and liquids normally pass through it. We present a case of combined cytomegalovirus. It connects the pharynx to the stomach; Esophagitis can occur from irritation from toxic or abrasive materials ingested or from gastric reflux. Esophagitis may cause odynophagia and even esophageal hemorrhage, which is usually occult but can be massive. Eosinophilic esophagitis attributed to gastroesophageal re.

The esophagus is a tube composed of a mucosal lining, and longitudinal and circular smooth muscle fibers.

Cytomegalovirus esophagitis is a form of esophagitis associated with cytomegalovirus. As the practice shows, hypodiagnostics of eosinophilic esophagitis and other eosinophilic gastrointestinal diseases takes place. The esophagus is a tube composed of a mucosal lining, and longitudinal and circular smooth muscle fibers. This condition occurs in the setting of patients with a weakened immune system who are susceptible. Esophagitis can occur from irritation from toxic or abrasive materials ingested or from gastric reflux. Occurs with patients who have oral lesions reflux esophagitis 1. Esophagitis can cause painful, difficult swallowing and chest pain. Herpes esophagitis is a viral infection of the esophagus caused by herpes simplex virus (hsv). Common forms of esophagitis include reflux esophagitis, infectious esophagitis, pill esophagitis candida esophagitis (see the image below) is the most common type of infectious esophagitis. Infective esophagitis is a rare disease, affecting mostly immunocompromised patients. Causes of esophagitis include stomach acids backing up into the esophagus, infection, oral medications and allergies. Esophagitis may cause odynophagia and even esophageal hemorrhage, which is usually occult but can be massive. Herpes esophagitis is a viral infection of the esophagus caused by herpes simplex virus (hsv).

Infective esophagitis is a rare disease, affecting mostly immunocompromised patients. Peptic strictures cause a gradually progressive dysphagia for solid foods. It connects the pharynx to the stomach; This condition occurs in the setting of patients with a weakened immune system who are susceptible. Swallowed food and liquids normally pass through it.

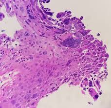
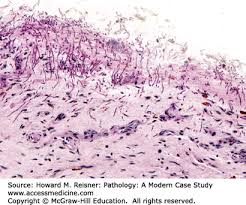
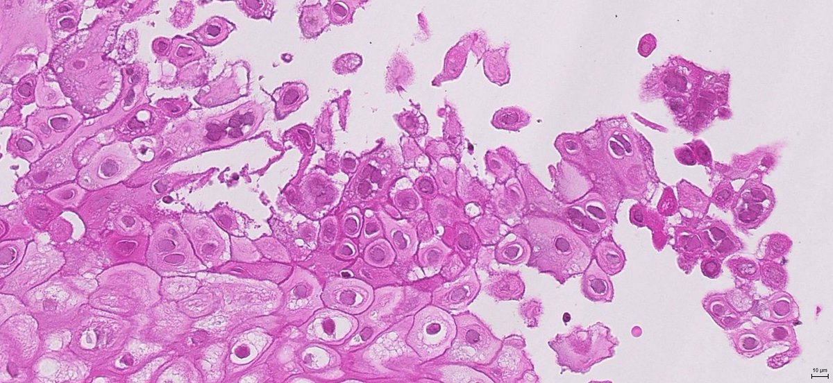
File Herpes Esophagitis Intermed Mag Jpg Libre Pathology
File Herpes Esophagitis Intermed Mag Jpg Libre Pathology from upload.wikimedia.org
Infective esophagitis is a rare disease, affecting mostly immunocompromised patients. Healing and relapse of severe peptic esophagitis after treatment with omeprazole. Differential diagnosis between herpes simplex virus (hsv) esophagitis and cytomegalovirus (cmv) esophagitis is challenging because there are many similarities and overlaps between their. Esophagitis, also spelled oesophagitis, is a disease characterized by inflammation of the esophagus. It connects the pharynx to the stomach; Esophagitis can occur from irritation from toxic or abrasive materials ingested or from gastric reflux. Esophagitis may cause odynophagia and even esophageal hemorrhage, which is usually occult but can be massive. Cytomegalovirus esophagitis is a form of esophagitis associated with cytomegalovirus.

Infective esophagitis is a rare disease, affecting mostly immunocompromised patients.

Esophagitis can cause painful, difficult swallowing and chest pain. As the practice shows, hypodiagnostics of eosinophilic esophagitis and other eosinophilic gastrointestinal diseases takes place. Healing and relapse of severe peptic esophagitis after treatment with omeprazole. Occurs with patients who have oral lesions reflux esophagitis 1. Infective esophagitis is a rare disease, affecting mostly immunocompromised patients. Herpes esophagitis is a viral infection of the esophagus caused by herpes simplex virus (hsv). We present a case of combined cytomegalovirus. Esophagitis, also spelled oesophagitis, is a disease characterized by inflammation of the esophagus. Common forms of esophagitis include reflux esophagitis, infectious esophagitis, pill esophagitis candida esophagitis (see the image below) is the most common type of infectious esophagitis. Esophagitis can occur from irritation from toxic or abrasive materials ingested or from gastric reflux. The esophagus is a tube composed of a mucosal lining, and longitudinal and circular smooth muscle fibers. Peptic strictures cause a gradually progressive dysphagia for solid foods. Symptoms include dysphagia, upper abdominal pain, diarrhea, nausea, vomiting, and sometimes hematemesis.

Common forms of esophagitis include reflux esophagitis, infectious esophagitis, pill esophagitis candida esophagitis (see the image below) is the most common type of infectious esophagitis hsv esophagitis. Cytomegalovirus esophagitis is a form of esophagitis associated with cytomegalovirus.

Comments